DİŞ GICIRDATMA NEDİR NEDENLERİ VE TEDAVİSİ
Bazen İnsanlar bilerek, istemli olarak dişlerini gıcırdatabilirler, daha çok sinir, gerilim ve korkuya bağlı olarak ortaya çıkar. Gündüz isteyerek ve bilerek diş gıcırdatmanın bir yehlikesi yoktur fakat gece uykuda diş gıcırdatma bize zarar verici ve tehlikeli olabiliyor.
Cerrahpaşa Tıp Fakültesi Göğüs Hastalıkları Bölümü Öğretim Üyesi Prof. Dr. Ahmet Rasim Küçükusta, gıcırdatmanın gece olmasının iki bakımdan önemli olduğunu vurguluyor. Birincisi, uyku sırasında gıcırdatmanın kontrol edilmesinin mümkün olmaması, ikincisi ise, uyku sırasındaki gıcırdatmanın şiddetinin daha fazla olmasıdır.
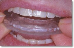
Diş gıcırdatma tedavisindeki amaç, gıcırdatma sonucu oluşan ağrıyı önlemek ve kalıcı zararları ortadan kaldırmaktır. Standart diş gıcırdatma tedavisinde, alt ve üst azı dişleri arasına yerleştirilmek suretiyle kullanılan “gece koruyucuları” adı verilen bir aparat vardır. Fakat çoğunlukla gece koruyucuları tek başına diş gıcırdatma(bruksizm) tedavisinde yeterli olmamaktadır.
Diş gıcırdatma nedenleri:
Diş gıcırdatmanın kesin nedeni belli değildir, fakat çoğu zaman stres, korku gibi psikolojik faktörlerin etkisiyle ortaya çıktığı sanılır. Bazı kişilerde çene yapısındaki bozuklukların ve alt ve üst dişlerin birbiriyle uyumlu olmamasının rolü olabilir. Anne veya babalarında diş gıcırdatma olan çocuklarda bu alışkanlık daha fazla görülür.
Bruksizm, bazen ağır beyin travmalarından sonra ya da yüzü ilgilendiren nöromusküler hastalıklarda da gelişebilir. Depresyon tedavisinde kullanılan bazı ilaçların yan etkisi olarak da karşımıza çıkabilir. Diş gıcırdatanların çoğunun aynı zamanda horlamaları da vardır ve bunlar Uykuda Solunum Durması Sendromu’ na adaydırlar. Kahve, kola gibi kafeinli içecekler, alkol ve sigara içilmesi diş gıcırdatma için risk faktörü olarak kabul edilir.
Çocuklarda Diş Gıcırdatma:
Son yıllarda yapılan araştırmalar, diş gıcırdatmanın çocuklarda allerjik olma olasılığı yetişkinlere oranla üç misli daha fazladır. Gıcırdatma, saman nezlesi, sinüzit, burun kemiği eğriliği, burun polipleri olanlarda daha fazladır. Bunlar genellikle geceleri ağzı açık yatan, horlayan ve salyaları akan çocuklardır. Bu çocuklarda kulak ağrısı ve kulak iltihaplarına da çok sık rastlanır.
Allerjik çocuklardaki diş gıcırdatmalarının, Östaki Borusu’ nun mukozasındaki ödemden dolayı orta kulakta negatif basınç oluşumuna bağlı bir refleks olarak geliştiği düşünülmektedir.
Diş gıcırdatma tedavisi:
Öncelikle, bruksizme neden olan beyin travması, allerji gibi esas hastalık tedavi edilmelidir. Dişlerdeki bir bozukluğa bağlı olan gıcırdatmalarda gerekli düzeltmeler yapılmalıdır. Dişlerinde harabiyet gelişen hastalar, uyku sırasında dişlerin birbirlerine sürtünmelerini önleyecek ağız içi protezlerden yararlanılabilirler. Stresi olanlarda psikiyatristlerden yardım istenmelidir. Alkol, kahve ve sigara içilmesi önlenmelidir. Depresyon ilaçlarına bağlı diş gıcırdatmalarda gabapentin isimli ilaçla iyi sonuçlar alındığı bildirilmiştir
Diş Gıcırdatma ek tedavi yöntemleri:
- Stres terapisi,
- Rahat uyumayı sağlayabilecek etkenler,
- Kas gevşetici ilaçlar,
- Yanlış yapılmış diş dolgusu ve diş kaplamalarının düzeltilmesi,
- Eksik dişler yerine protez diş yerleştirilmesi.
Diş gıcırdatma sonucu ortaya çıkabilecek bazı problemler:- Dişlerin üst kısımlarında aşınma,
- Dişlerde kırılma,
- Dişlerde aşırı hassasiyet,
- Dişlerin yerinden oynaması,
- Yanakların tahriş olması,
- Çene kaslarında ağrılar,
- Baş ağrıları,
- Çene eklemlerinde ağrılar.










One Comment
Merhaba;
Yazı için çok teşekkürler. Bugün araştırma yaparken, bununla ilgili bir yazı okudum. İlgilenenler olursa, paylaşmak istiyorum.
istanbella.com adresinde dis-sagligi-ve-dis-gicirdatma